HOSPITAL
We are with you to take care about your Health the world class infrastructure ensure comprehensive care of every patient .
- Super speciality Hospital which has 15000 Beds
- Which Provides (ICMH) INSTITUTE OF MEDICAL COLLEGE HOSPITAL.
- (IMCH) has 200 beds the institute covers 174240 sft splinth area fully safety & fire safety Gas pipeline provisions. It will also has 800 (Hostel) Residential rooms fesibilty of 24/7 power connection and facility of extract and dirty water also has cafeteria & hotel 40-50 persons of home guards transport facility. Lawn, play ground , Rest area, conference Room, Health club, 24x7 services Guest Rooms etc.
- IMCH has 350 MBBS seats existing 100 and 250 PG seats existing 70 seats.
The Hospital will have 45 wards including General medicine 500 beds orthopaedics.

500 General and paediatrics, 700 Obstetrics and gynecology 480 Ophthalmology 350 ICU wards

- 300 other major wards are Gastroentrology
- 80 endocrinology
- 85 nephrology
- 75 neurology
- 86 cardiology
- 82 Burns
- 40 Urology
- 80 neuro surgery
- 90 plastic surgery
- 60 psycharity iv.transpla 150 beds.
A Big lawn, cafeteria and Hotel all type of food Prevension

Gym (fitness centre)

6536 weachile parking area 5 chopper landing space

Pharmacy medical store

Dental Clinic

Eye Care centre

80 Ambulance 5 chopper 24×7 emergency services


Childrens care & library

Rest area, lobby, Guests rooms

Experienced specialist Doctors # Super speciality Hospital with plesent specious interiors

Separate intensive care units (ICU) for each speciality, (MICU) (CCU) (SICU) (NICU) (PICU)
State of Modular Operation Theater

- Patient Care areas to Suit all Economics
- Endoscopy, ultrasound , Bronchoscopy
- Radiology, CT, X-RAY
- NIC-ECG, 2D ECHO, TMT, HOLTER, PFT
- Day care surgeries
- cathlab with imaging equipment
- Breathing suits with complete infant care
- well trained support staff.
- state of the art equipment
- computerised operation with Hospital management system.
Health Checkups
- Child Birth
- Cancer Care
- Gastroentrology
- Beast Services
TREATMENTS TEST AND THERAPIES
TRANSPLANTATION :- #. Liver Transplant

Hand and Arm Transplant

Pancreas Treatment

THE DAY SURGERIES --- Preparing For surgery the operating room.
ORTHOPEDIES :- #.Back and Spine Surgery

Back pain Treatment (Chronic back pain without Surgery)
peripheral nerve Treatment (carpal tunnel release)

First Aid and Safety (Ice pack and warm compress)

Knee Surgery (Knee replacement)

Screaning and Diagnostics :- #.Bladder Cancer (Bladder cancer , Screening and Diagnosis)

Prostate (prostate Cancer Advancements in Screening ) Pancreas Treatment
Colon cancer
(colon cancer diagnosis and stagging)

Lung cancer
(Lung cancer screening)

UROLOGY

Kidney Cancer Ablation
DIAGNOSIS AND SCREENING (24 hours URINE COLLECTION )

TESTICULAR TREATMENT
(How to perform a testicular self exam)
UROLOGICAL CONDITIONS
(penile and Urethral cancer)
PROSTATE CANCER PRODUCERS
(Prostate cancer treatment to know about Active Survillances)
PLASTIC AND RECONTRACTIVE SURGERY : - #.Breast Reconstruction

(7 Things You Might Not Know About Delayed Breast Reconstruction)
Lymphedema

RECONSTRUCTIVE PLASTIC SURGERY OVERVIEW
( Facial Reconstruction)

OVERVIEW OF HAND SURGERY

CHILDREN'S HEALTH
( Carniofacial Abnormalities)

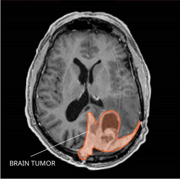
NEUROLOGY : - #. Meningioma
The Most Common Brain Tumor , Treatment)

STROKE ( New Hope for Stroke Recovery)

PARKINSON'S DISEASE : - (To Fight Parkinson's Disease Related Fatigue)

CREREBRAL PALSY

( Selective Dorsal Rhizotomy for Cerebral Palsy )
DEMENTIA : - ( Memory Lapse or Dementia )

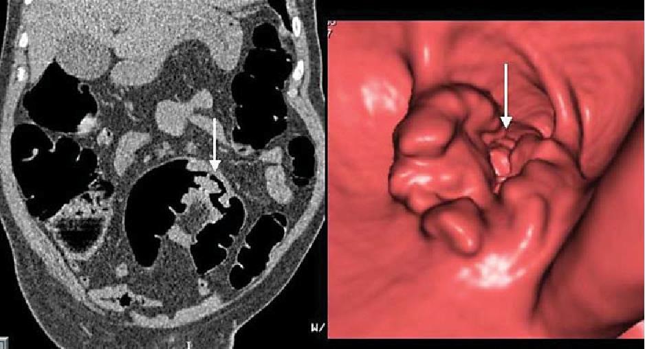
GASTROENTROLOGY

Stomach Cancer ( How Endoscopy Detects Stomach Cancer)
COLON CANCER :
(Colon cancer with Q&A with Gastroentrologist )

COLORECTAL CANCER
COLON CANCER SCREENING

CELIAC DISEASE :- 5 things your poop can tell about your Health

COLON CANCER
( Virtual Colonoscopy Screening to Combat Colono Cancer)

GYNECOLOGY
Breast cancer ( 6 Mammogram Myths)

DIAGNOSIS & SCREENING :- ( Breast Biopsy )

ENDOMETRIOSIS :- ( Period Pain It Could be Endometriosis)

SEXUAL AND REPRODECTIVE HEALTH ( Staying Healthy After menopause)

CARDIOVASCULAR : - #. STROKE

( 3 Ways to Avoid a Second Stroke )
(Cardiac Rehabilitation Big Benefits With Perseverance)

A Heart-Smart Approach to Marathons and Vigorous Exercise


Exercise Motivation Your Heart Will Love
STAY HEALTHY
Understanding Your Target Heart Rate

TREATMENT THAT TESTS ANTHERAPIES
Different types of CAM?
Many different areas make up the practice of complementary and alternative medicine (CAM). In addition, many parts of one field may overlap with the parts of another field. For example, acupuncture is also used in conventional medicine. In the U.S., CAM is used by about 38% of adults and 12% of children. Examples of CAM include:
Traditional alternative medicine. This field includes the more mainstream and accepted forms of therapy, such as acupuncture, homeopathy, and Oriental practices. These therapies have been practiced for centuries worldwide. Traditional alternative medicine may include:
- Acupuncture
- Ayurveda
- Homeopathy
- Naturopathy
- Chinese or Oriental medicine
Body
Touch has been used in medicine since the early days of medical care. Healing by touch is based on the idea that illness or injury in one area of the body can affect all parts of the body. If, with manual manipulation, the other parts can be brought back to optimum health, the body can fully focus on healing at the site of injury or illness. Body techniques are often combined with those of the mind.
Examples of body therapies include:
- Chiropractic and osteopathic medicine
- Massage
- Body movement therapies
- Tai chi
- Yoga
Diet and herbs. Over the centuries, man has gone from a simple diet consisting of meats, fruits, vegetables, and grains, to a diet that often consists of foods rich in fats, oils, and complex carbohydrates. Nutritional excess and deficiency have become problems in today's society, both leading to certain chronic diseases. Many dietary and herbal approaches attempt to balance the body's nutritional well-being. Dietary and herbal approaches may include:
- Dietary supplements
- Herbal medicine
- Nutrition/diet
External energy
Some people believe external energies from objects or other sources directly affect a person's health. An example of external energy therapy is:
- Electromagnetic therapy
- Reiki
- Qigong
Mind
Even standard or conventional medicine recognizes the power of the connection between mind and body. Studies have found that people heal better if they have good emotional and mental health. Therapies using the mind may include:
- Meditation
- Biofeedback
- Hypnosis
Senses
Some people believe the senses, touch, sight, hearing, smell, and taste, can affect overall health. Examples of therapies incorporating the senses include:
- Art, dance, and music
- Visualization and guided imagery